MNE vizSome notes to figure out how to show TMS stim sites scalp/skull surfaces w/ promixity to particular regions in the brain
freesurfer to generate scalp/skull surfaces from T1 MRImne tools to generate BEM surfaces from freesurfer outputsmne to visualize TMS coil positions relative to scalp/skull/brain surfaces and/or matlab with specific freesurfer visualization toolsAssuming you have run freesurfer’s recon-all on your T1 MRI to generate the necessary surfaces and have installed mne tools on your machine + have matlab knocking around 😄!
Use mne watershed_bem to generate scalp and skull surfaces
SUBNAME=subject-A
mne watershed_bem -s ${SUBNAME}
and visualise:
SUBNAME=subject-A
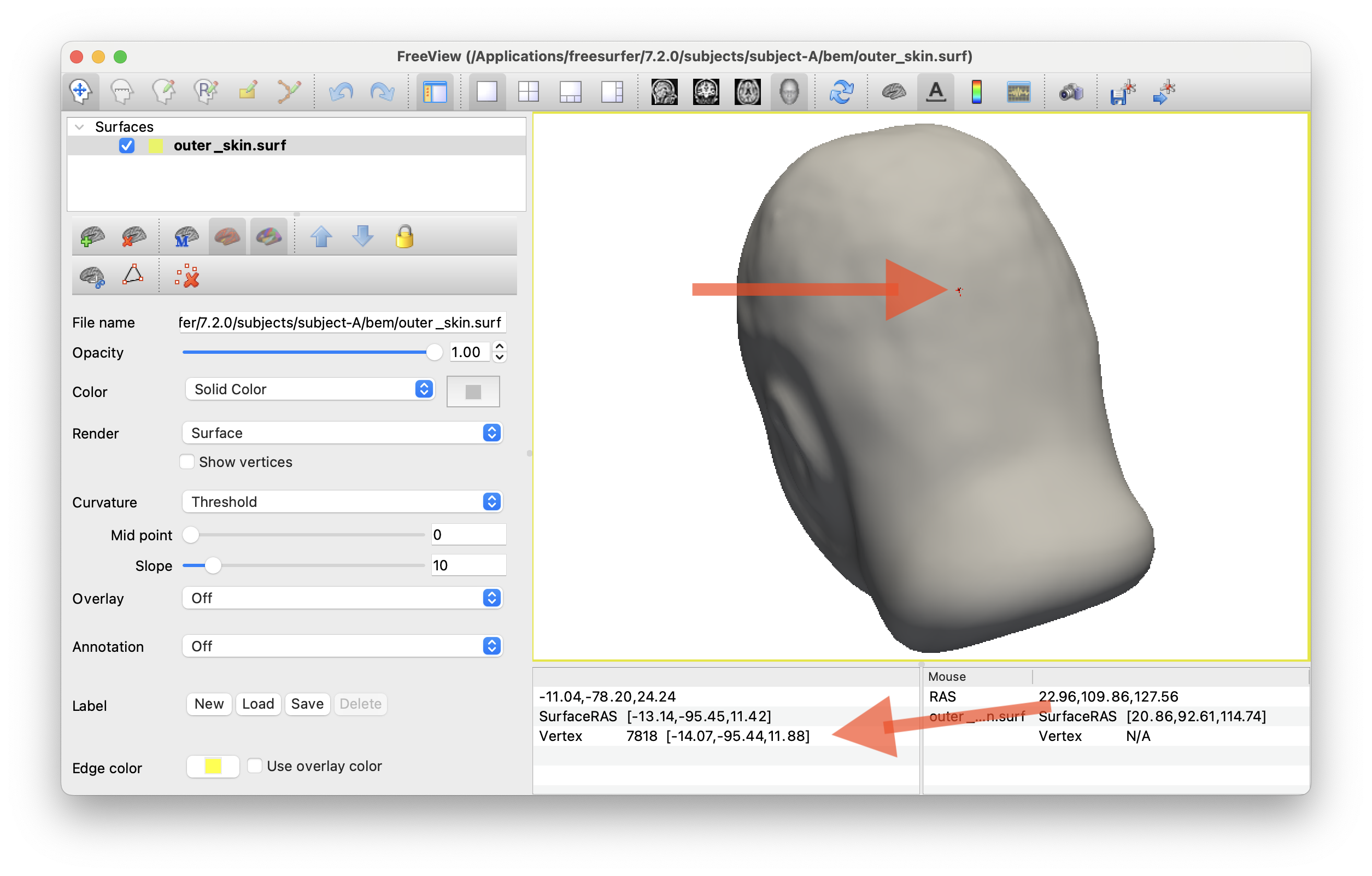
mne freeview_bem_surfaces -s ${SUBNAME}
This will allow you to get some nice screengrabs of skull / skin surfaces. Etc.
I also used this to approximate the inion/nasion points on the scalp surface for Cz locating. See code to check if that makes sense
Probably easiest to do this in python using mne.viz. Here’s some example code to get you started h/t prompts from Claude in Visual Studio Code and the documentation on the MNE site.
mne installed# if you used the MNE installer, something like:
conda activate /Applications/MNE-Python/1.11.0_0/.mne-python
You should be able to run the interative viz code below and see the scalp/skull surfaces along with fiducials and Cz of montage, if I got that correct. Inspect code at to see details.
# make sure right python!
conda activate /Applications/MNE-Python/1.11.0_0/.mne-python
# then run
python ./create_montage_viz.py

Etc. etc…
x_dev is penalized.z_pos is negative) is included.# default behaviour PREFER upwards paths
python create_montage_viz.py # default behaviour
python create_montage_viz.py up # default behaviour
# as a reality check you can also try to penalise upwards paths by PREFERing downwards paths
python create_montage_viz.py down